Adrenal Adenoma vs. Metastasis

Benign Adrenal Adenoma
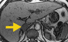
Adrenal Metastasis

In this T1-weighted image, fat and water signals are additive. Arrow = adrenal adenoma.

In this T1-weighted "opposed phase" image, fat and water signals interfere with each other. The adrenal adenoma (arrow) contains fat and water, so its signal intensity has decreased. A metastasis is therefore excluded.

In this T1-weighted image, where fat and water signals are additive, the adrenal metastasis (arrow) is slightly less intense than in the adenoma above.

In this T1-weighted "opposed phase" imager, the adrenal metastasis (arrow) has the same signal intensity as in the in-phase image to the left. This is because the metastasis does not contain fat.


References

1. Mitchell DG, Crovello M, Matteucci T, R.O. P, Miettinen MM. Benign adrenocortical masses: diagnosis with chemical shift MR imaging. Radiology 1992;185:345-351.

2. Outwater EK, Siegelman ES, Radecki PD, Piccoli CP, Mitchell DG. Distinction between benign and malignant adrenal masses: value of T1-weighted chemical shift MR imaging. AJR 1995;165:579-583.


Jump to Department of Radiology Home Page
( Leave MRI site)

 

 


Copyright © Thomas Jefferson University. All Rights Reserved.
The Thomas Jefferson University web site, its contents and programs, is provided for informational and educational purposes only and is not intended as medical advice nor is it intended to create any physician-patient relationship. Please remember that this information should not substitute for a visit or a consultation with a health care provider. The views or opinions expressed in the resources provided do not necessarily reflect those of Thomas Jefferson University, Thomas Jefferson University Hospital, or the Jefferson Health System or staff.