Pancreatic Adenocarcinoma

Small Adenocarcinoma Without Vascular Invasion
In this sub-second coronal T2-weighted image, there is a solid mass in the head of the pancreas (arrow).
In this sub-second coronal MR cholangio-pancreatography image, the the mass is shown to obstruct the pancreatic duct (arrow).
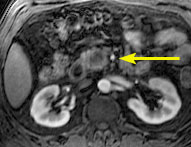
Sub-second transverse T2-weighted image shows the mass (yellow arrow), which does not involve the superior mesenteric artery and vein (red arrows).
Ttransverse fat suppressed T1-weighted image shows the mass (arrow).
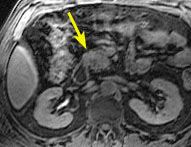
Immediately after injection of gadolinium contrast agent, the mass shows reduced enhancement. Arrow incidates the uninvolved superior mesenteric artery.
Approximately 30 seconds after injection of contrast agent, the superior mesenteric vein is shown (arrow).
 
More than any other method of imaging, MRI can depict pancreatic masses and their relationship to biliary and pancreatic ducts, peripanreatic vessels and surrounding tissues.


References

1. Mammone JF, Siegelman ES, Outwater EK. Magnetic resonance imaging of the pancreas and biliary tree. Seminars in Ultrasound, CT and MR 1998;19:35-52.

2. Ichikawa T, Haradome H, Hachiya J, Nitatori T, et al. Pancreatic ductal adenocarcinoma: preoperative assessment with helical CT versus dynamic MR imaging. Radiology 1997;202:655-662.

3. Semelka RC, Kelekis NL, Polina PL, Sharp T, Calvo B. Pancreatic cancer detection: comparison of spiral CT and MR imaging by using ROC analysis. Radiology 1995;197(P):378.

4. Mitchell GG, Winston CB, Outwater EK, Ehrlich SM. Delineation of pancreas with MR imaging: multiobserver comparison of five pulse sequences. JMRI 1995;5:193-199.

5. Mitchell DG. MR imaging of the pancreas. MRI Clinics of North America 1995;3:51-71.


Jump to Department of Radiology Home Page
( Leave MRI site)



Copyright © Thomas Jefferson University. All Rights Reserved.
The Thomas Jefferson University web site, its contents and programs, is provided for informational and educational purposes only and is not intended as medical advice nor is it intended to create any physician-patient relationship. Please remember that this information should not substitute for a visit or a consultation with a health care provider. The views or opinions expressed in the resources provided do not necessarily reflect those of Thomas Jefferson University, Thomas Jefferson University Hospital, or the Jefferson Health System or staff.