Pelvic Floor Prolapse

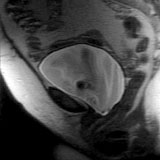
Sagittal T2-weighted image. The bladder has high signal intensity.
Sagittal T2-weighted image obtained during straining. Note descent of the bladder.
The patient was instructed to alternately strain and relax as a series of sub-second T1-weighted images were obtained, showing the dynamic motion of the pelvic structures with straining.

Jump to Department of Radiology Home Page
( Leave MRI site)

 

 


Copyright © Thomas Jefferson University. All Rights Reserved.
The Thomas Jefferson University web site, its contents and programs, is provided for informational and educational purposes only and is not intended as medical advice nor is it intended to create any physician-patient relationship. Please remember that this information should not substitute for a visit or a consultation with a health care provider. The views or opinions expressed in the resources provided do not necessarily reflect those of Thomas Jefferson University, Thomas Jefferson University Hospital, or the Jefferson Health System or staff.